Leistungen

Alterstraumatologie

Seit den letzten beiden Jahrzehnten zeichnet sich eine deutliche Veränderung der Altersstrukturen in unserer Gesellschaft ab. Mit einer stetig wachsenden Anzahl älterer Menschen steigt auch deren Verletzungsrisiko. Kleinere Stürze oder Bagatellunfälle führen häufig zu Knochenbrüchen oder anderen Verletzungsfolgen.

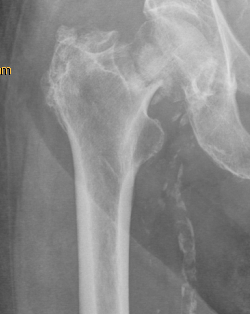
Ursache für komplexe Knochenbrüche wie Hüft- oder Schulterfraktur ist eine reduzierte Knochenqualität. Die häufigsten dieser Verletzungen sind die handgelenknahe Speichenfraktur (Radiusfraktur), die hüftgelenknahe Oberschenkelfraktur (mediale/pertrochantäre Fraktur), die Schulterfraktur (proximale Humerusfraktur) oder die Fraktur eines oder mehrerer Wirbelkörper.

Diese Verletzungen können für einen älteren Menschen teilweise gravierende Folgen haben. Eine Schenkelhalsfraktur kann bei einem älteren Patienten mit dem plötzlichen Verlust seiner Selbstständigkeit und Mobilität verbunden sein und eine Vielzahl anderer Komplikationen nach sich ziehen. Eine drohende temporäre oder dauerhafte Pflegebedürftigkeit kann sich daraus entwickeln.

Der verletzte ältere Mensch benötigt oft ein komplexes Behandlungsregime, das seine Unfallfolgen, die schlechte Knochenqualität (Osteoporose) und die Nebenerkrankungen (Multimorbidität) gleichermaßen einschließt.

Verletzte ältere Patienten werden von uns durch ein speziell geschultes Team behandelt. Geleitet wird dieses Team von einem unfallchirurgischen Oberarzt, der gleichzeitig die Zusatzqualifikation Geriatrie besitzt. Das Team aus Ärzten, Krankenschwestern/Pflegern, Physiotherapeuten und dem Sozialdienst ist auf die besonderen Erfordernisse älterer und verletzter Menschen eingestellt. Dies beinhaltet auch eine intensive Zusammenarbeit mit den angrenzenden Fachgebieten, insbesondere der Inneren Medizin, Neurologie, der Klinik für Geriatrie, Rehabilitation und Palliativmedizin und der geriatrischen Rehabilitationsklinik (Bethesda Klinik).