Leistungen

Fuß- und Sprunggelenks-Verletzungen

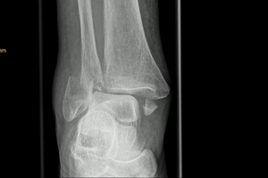
Brüche des oberen Sprunggelenks (OSG) sind die häufigsten Frakturen der unteren Extremität. Das obere Sprunggelenk besteht aus dem Waden- (Fibula), dem Schien- (Tibia) und dem Sprungbein (Talus). Schien- und Wadenbein formen eine Gabel, in welcher sich das Sprungbein bewegt. Die Stabilität des knöchernen Sprunggelenks wird durch Bänder (Außenbänder, Innenband und Syndesmose) gewährleistet. Sprunggelenks-Frakturen können sehr komplex sein und aus einer Reihe von Kombinationsverletzungen des Außenknöchels (Malleolus lateralis), Innenknöchels (Malleolus medialis), der Hinterkante des Schienbeins (posteriorer Malleolous) und der Bänder bestehen. Entsprechend der Anzahl der betroffenen Knochen unterscheidet man zwischen einer isolierten Außenknöchelfraktur, einer Bimalleolar- (Außen- und Innenknöchel) und oder einer Trimalleolar-Fraktur (Außen-, Innenknöchel und Schienbein-Hinterkante).

Die Therapie der Sprunggelenks-Frakturen richtet sich nach der Form des Bruches. Wenn es sich um einen isolierten Bruch des Innen- oder Außenknöchels handelt, bei dem die Bruchenden nicht verschoben sind, ist eine konservative Therapie (Gipsbehandlung) möglich. Die Therapie beinhaltet eine Ruhigstellung im Unterschenkelgips und eine weitgehende Entlastung des Fußes an 2 Unterarmgehstützen für 6 Wochen. Fortlaufende Röntgenkontrollen sind notwendig, um die Heilung des Bruches zu kontrollieren.

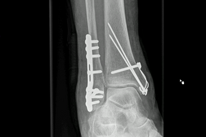
Eine Operation ist aber in den meisten Fällen notwendig, da häufig eine starke Verschiebung der Fraktur vorliegt. Die Operation erfolgt in der Regel zeitversetzt nach Abschwellung des Sprunggelenks. Bis dahin erfolgt eine Ruhigstellung im Gips und konsequente Hochlagerung und Kühlung (ambulant oder stationär). Ziel der Operation ist es, die verschobenen Fragmente und das Gelenk zu rekonstruieren. In Abhängigkeit von der Fraktur erfolgt eine Stabilisierung mit Platten und/oder Schrauben. Neben einer Verletzung der Knochen kann auch eine Verletzung der Bänder vorliegen. Die Stabilität des Sprunggelenks muss daher während der Operation getestet werden. Sollte eine Instabilität der Bänder oder der Syndesmose vorliegen, so werden diese mit behandelt.