Leistungen

Schulter-, Schlüsselbein- und Ellenbogenverletzungen

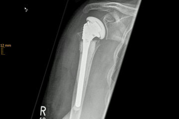
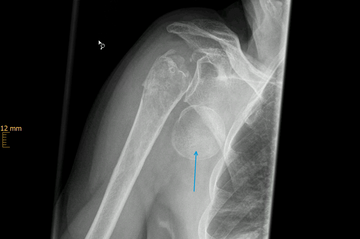
Oberarmfrakturen

Oberarmfrakturen sind häufige Frakturen der älteren Menschen. Mit der Radiusfraktur (Handgelenk), den hüftgelenknahen Frakturen und den Wirbelkörperfakturen gehören sie zu den häufigsten osteoporotischen Extremitätenfrakturen. Durch ein Sturzgeschehen mit Anprall auf den Ellenbogen oder das Abfangen des Sturzes auf die ausgestreckte Hand entsteht eine axiale Krafteinwirkung auf die Schulter, die zur Fraktur führt (Niedrigenergietrauma). Bei jüngeren Patienten sind es häufig Stürze im Rahmen von Sport- oder Verkehrsunfällen (Hochenergietrauma).

Der große Kopf des Schultergelenkes ist direkt an seinem Übergang zum Schaft des Oberarmes besonders frakturgefährdet. An dieser Stelle kommt es häufig zu Brüchen (subkapitale Humerus-Fraktur).

Die Mehrzahl dieser Brüche ist nicht ins Gelenk auslaufend und wird, wenn nicht stark verschoben, konservativ (nicht operativ) durch Ruhigstellung behandelt. Dann wird der Arm in einer speziellen Bandage fixiert, die mindestens 6 Wochen getragen werden muss. Zwischenzeitlich erfolgt aber bereits Krankengymnastik.

Verschobene Frakturen und solche mit deutlicher Gelenkstufenbildung müssen in der Regel operiert werden. Die Notwendigkeit nimmt dann zu, wenn durch die Fraktur die Oberarmkopfdurchblutung gefährdet ist oder eine starke Verschiebung der Frakturfragmente keine akzeptable Funktion des Schultergelenkes erwarten lässt. Der Vorteil der operativen Behandlung (Osteosynthese) ist neben der möglichst anatomischen Reposition und Stabilisation die frühfunktionelle Nachbehandlung.

In wenigen Fällen besteht auf Grund der Frakturform die Notwendigkeit, das Schultergelenk sofort durch eine Endoprothese zu ersetzen.

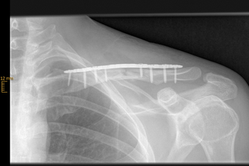
Klavikulafraktur (Schlüsselbeinbruch)

Die Klavikulafraktur ist eine typische Fraktur des jungen Patienten. Rad- und Motorradfahrer, Wintersportler und Kontaktsportler sind die typischen betroffenen Patienten.

Viele Schlüsselbeinbrüche können ohne Operation behandelt werden, wenn die Frakturstücken keine wesentliche Verschiebung (Dislokation) aufweisen. Der betroffene Arm wird in einer Armschlinge für ca. 3-4 Wochen ruhiggestellt, parallel wird mit physiotherapeutischen Behandlungen begonnen. Die Behandlungsdauer beträgt ca. 8 Wochen. Kommt es jedoch zu einer deutlichen Verschiebung der Frakturenden (um mehr als die Breite des Schlüsselbeins) und tritt dadurch eine Verkürzung oder ein Abknicken des Schlüsselbeins auf, besteht die Indikation zur Operation. Gleiches gilt auch für eine Fraktur des Schlüsselbeins mit vielen Bruchstücken (Fragmenten).

Distale Humerusfraktur

Der untere Anteil des Oberarmknochens bildet einen Anteil des Ellenbogengelenkes, auf dem sich die Unterarmknochen Elle und Speiche als Gelenkpartner bewegen. Frakturen in dieser Region müssen fast ausnahmslos operiert werden.

 

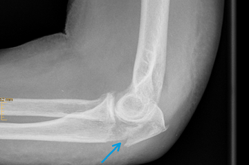
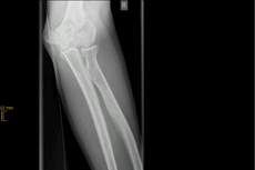
Ellenbogenfrakturen

Das Ellenbogengelenk besteht aus den beiden Unterarmknochen Elle (Ulna) und Speiche (Radius) sowie dem unteren Anteil des Oberarmknochens (Humerus).

Häufig müssen Frakturen des Ellenbogengelenkes operiert werden, da bereits kleinere Verschiebungen der Gelenkflächen zu einem schnellen Verschleiß und einer Funktionsminderung des Gelenkes führen.

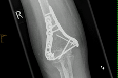
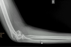
Ellenhakenbruch (Olekranonfraktur)

Das Olekranon ist das ellenbogenseitige Ende der Elle (Ulna). Hier befestigt sich die Sehne des Unterarmstreckers (Trizepsmuskel) und überträgt so die Kraft der Streckmuskulatur auf das Olekranon und den Unterarm.

Frakturen des Olekranons sind häufig, sie können einfach aber auch sehr komplex sein.

Ein stabiler Ellenbogenbruch (Olekranonfraktur), bei dem die Bruchstücke nur minimal voneinander entfernt liegen und keine Verschiebung aufweisen, kann nicht operativ (konservativ) behandelt werden. In diesem Fall wird der betroffene Arm im Gips oder in einer Orthese ruhig gestellt.

Ist dieses nicht der Fall und es liegt eine komplexe Fraktur mit verschobenen Knochenfragmenten vor, erfolgt in der Regel eine Operation. Durch den Zug der Streckmuskulatur klaffen die einzelnen Bruchstücke weit auseinander. Zur Fixierung der Fraktur und Wiederherstellung der Gelenkfunktion ist eine Verdrahtung oder Verplattung des Bruchs notwendig.