Leistungen

Becken-, Hüft- und Kniegelenks-Verletzungen

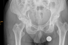
Beckenfrakturen

Beckenfrakturen und Frakturen der Hüftgelenkspfanne (Azetabulum) sind komplizierte, teilweise sogar lebensbedrohende Verletzungen. Schwere, instabile Beckenbrüche treten häufig in Verbindung mit Hochenergieverletzungen wie einem Polytrauma auf. Gefäß- und Nervenverletzungen sind in deren Folge nicht selten und können zu einem massiven Blutverlust führen. Die Erstversorgung hängt von der Schwere der Fraktur und der Begleitverletzungen ab. Bei schweren Verletzungen ist zunächst eine Stabilisierung mit einer Beckenzwinge oder einem Fixateur externe notwendig, um andere Verletzungsfolgen primär zu behandeln.

Zur weiterführenden Diagnostik einer Beckenverletzung steht uns modernste radiologische Bildgebung mit 3D-Rekonstruktion zur Verfügung. Auch intraoperativ ist eine 3D-Bildgebung bei laufender Operation möglich. Zur Therapie von vorderen und hinteren Beckenring-Frakturen favorisieren wir Platten-Osteosynthesen offener Reposition, aber auch minimal-invasive Therapieoptionen und transkutane Verschraubungen.

Frakturen der Hüftgelenkspfanne

Frakturen der Hüftgelenkspfanne (Azetabulumfrakturen) sind häufig komplizierte Frakturen. Die Schwierigkeit der Versorgung liegt in der exakten Wiederherstellung der konkaven Gelenkfläche. Auch bei optimaler Versorgung kann sich aus einer Azetabulumfraktur ein frühzeitiger Hüftgelenksverschleiß entwickeln.

Die Therapie-Entscheidung berücksichtigt die individuelle Situation des Verletzten wie Lebensalter, Knochenqualität, körperliche Aktivität u.v.m. und bedarf hoher operativer Erfahrungen. Neben den oben genannten Verfahren kommt auch die sofortige endoprothetische Versorgung mit speziellen Stützschalen in Betracht. Sie gewährleistet gerade bei älteren Menschen eine frühzeitige Mobilisation.

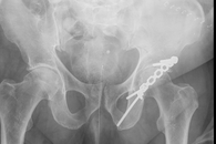
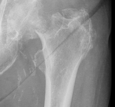
Hüftgelenksnahe Oberschenkelbrüche

Hüftgelenksnahe Oberschenkelbrüche bezeichnen die knöchernen Verletzungen des Hüftkopfes, des Schenkelhalses oder des Rollhügelmassivs (Trochanter major und minor). In der Regel ist ein Sturz auf das Hüftgelenk oder ein direktes Anpralltrauma dafür verantwortlich. Diese Frakturen sind typische Frakturen des höheren Lebensalters.

Die Patienten werden fast ausnahmslos über die Rettungsstelle in unsere Klinik eingewiesen. Klassische Symptome sind die Gehunfähigkeit, starke Schmerzen und ein nach außen verdrehtes Bein. Lokale Blutergüsse sind häufig vorhanden.

Modernste radiologische Diagnostik steht uns zur Klassifizierung der Fraktur und der sich daraus ergebenden Therapie zur Verfügung.

Patienten-individuelle Faktoren wie Allgemeinzustand, Vorerkrankungen, Begleitverletzungen, ein vorbestehender Hüftgelenksverschleiß fließen mit in die Therapieplanung ein und werden mit den Patienten besprochen. Die operativen Behandlungskonzepte unserer Klinik für diese Verletzungen entsprechen den aktuellen Leitlinien bzw. den internationalen Therapie-Empfehlungen.

Die operative Therapie erfolgt zeitnah zum Unfallgeschehen, kann sich aber durch einen reduzierten Allgemeinzustand, erhebliche Nebenerkrankungen und insbesondere durch die Einnahme von blutverdünnenden Medikamenten verzögern.

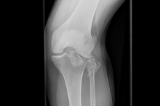
Kniegelenks-Verletzungen

Die Basisversorgung von Frakturen, die arthroskopische Chirurgie und die Fraktur-Endoprothetik, einschließlich des Teilersatzes des angrenzenden Oberschenkelknochens, gehören zum Repertoire der Klinik. So ist es uns möglich, über die Spezialisierung der Standorte unserer Klinik auch komplexeste Knieverletzungen auf höchstem Niveau zu versorgen.