Mit OP und Gefäßverschluss gegen Blutung im Kopf

Gesundheitsforum DBK am 19. Januar

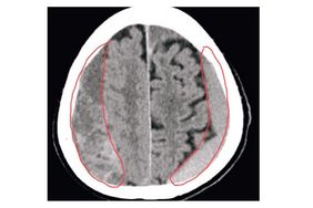
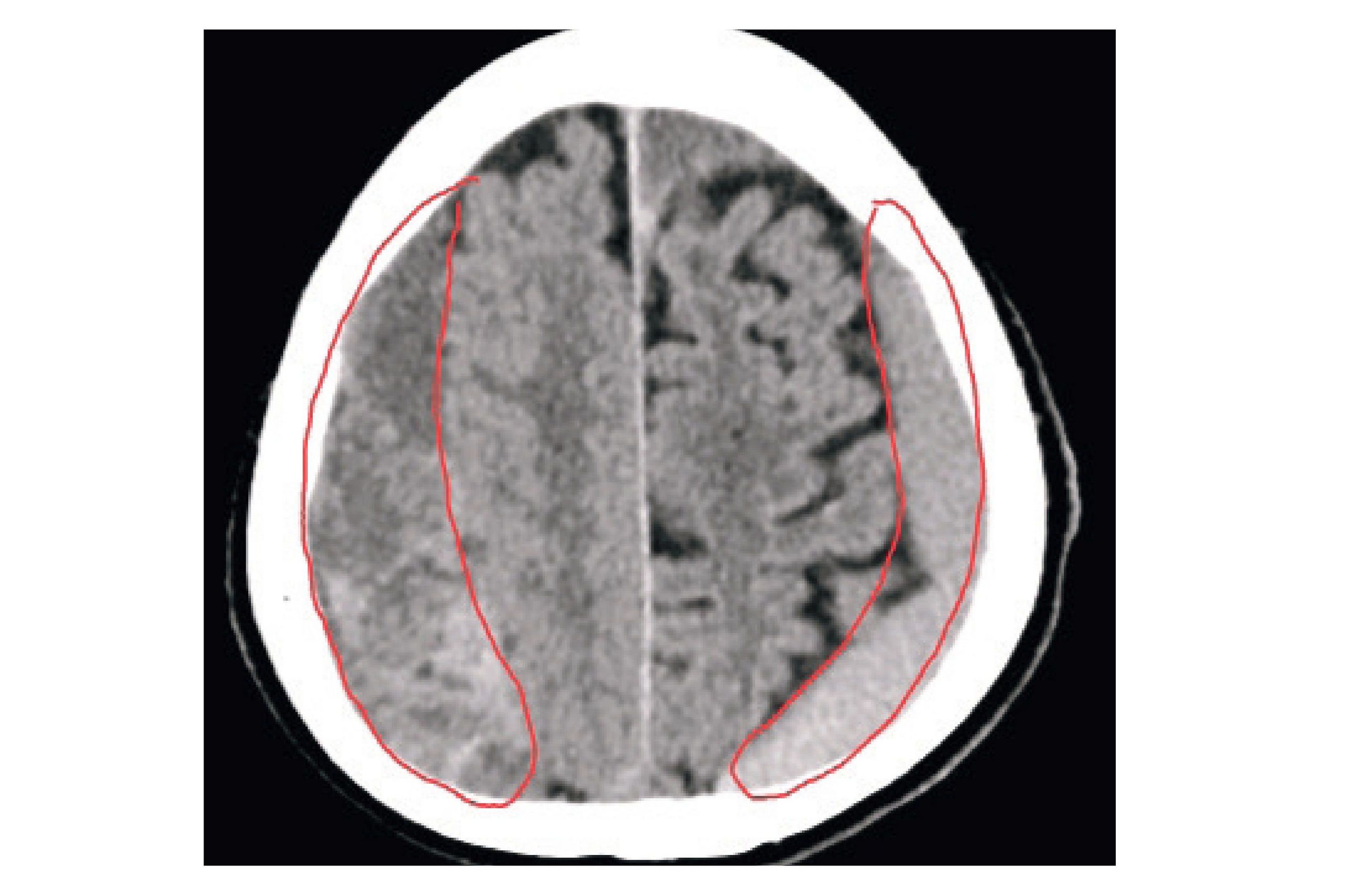
Ein „Chronisches Subduralhämatom“ (cSDH) ist eine Blutung im Kopf, die an der Gehirnoberfläche zwischen harter und weicher Hirnhaut entsteht – typischerweise bei älteren Patienten. Auslöser kann schon ein leichtes Trauma sein, begünstigt wird es durch blutverdünnende Medikamente. Das Hämatom bleibt oft lange unbemerkt, kann aber, wenn es wächst, zu neurologischen Ausfallerscheinungen, Arm-/Beinschwäche und Sprachstörungen führen.

Wenn es erforderlich wird, leitet ein Neurochirurg das Blut mittels Bohrloch und Katheter ab. Beim cSDH bilden sich im Verlauf neue Membranen, die über arterielle Gefäße versorgt werden. Diese sind jedoch spröde und instabil, was oft zu Nachblutungen führt. Eine neue Therapie ermöglicht den Verschluss der Gefäße über einen Leistenzugang und Mikrokatheter.

Beide Verfahren sind Thema beim Gesundheitsforum DBK am 19. Januar 2026 um 17 Uhr im Konferenzraum des Hauses G (Bethesda Klinik) in Neubrandenburg.

Alle Interessierten sind willkommen. Der Eintritt ist frei.